アローズ式
「短期セラミック矯正 」
立川駅の安心して通える歯医者
ご予約・ご相談はお気軽にどうぞ ▼
※月曜・日曜 17:30まで
最短4回で美しい歯並び・正しい噛み合わせ
アローズ式
「短期セラミック矯正 」とは?
健康上大切なことを考慮した「セラミック」によって短期間で歯並びを改善する方法です。
1回目の治療でオーダーメイドの仮歯にするためほぼ即日で歯並びは改善されます。
ただ場合によっては健康な歯に手を加えるため、高度なテクニックと適切な処置が必要です。
見た目がキレイに改善されても、その後長持ちしなかったり、健康上のトラブルがあるようでは意味がないと当院では考えております。
健康に配慮した高度なセラミック矯正をご用意しております。
是非お気軽に無料カウセリングからお越しください。
こんな悩みがある方にはおすすめです
・ワイヤーをつけたくない
・短期間で治したい
・歯の形を治したい
・歯を抜かないで治したい
・他人に気づかれずにすぐ治したい
・前歯だけを治したい
・神経抜く・歯を削るということが嫌だ
短期セラミック矯正の流れ
当院の矯正治療の流れについてご説明します。
1. 無料カウンセリング・資料取り
2. 治療前


3. 仮歯 (治療1回目)
アローズ式「短期セラミック矯正」は最短4回の通院で治療が終了します。
治療1回目で「綺麗な歯並び」へ
治療開始当日に、その場でオーダーメイドの仮歯が入ります。
そのため当院では治療1回目で「綺麗な歯並び」でお帰りいただくことが可能です。
本歯のセラミックが入るまでの期間、綺麗な仮歯でお過ごしいただけます。
その日のスケジュールにもよりますが、カウンセリング当日に施術を受けて頂く事も可能です。


4. 消毒 (治療2回目〜3回目)
4. 型取り (治療3回目〜4回目)
5. 完成(治療4〜5回目)



矯正歯科 料金
| カウンセリング | 無料 |
|---|---|
| 短期 セラミック矯正 |
1本:130,000円〜 |
※ 料金は全て税抜き表示となっております。
部分矯正カウンセリング 予約受付中

前歯・歯並びの無理カウンセリング受付中。
前歯をキレイにしたい、見た目が気になるなどお気軽にご相談下さい。
立川アローズ歯科クリニックの患者様に寄り添ったカウンセリグを行い患者様一人一人に最適な治療法をご提案致します。
ご予約はこちらから
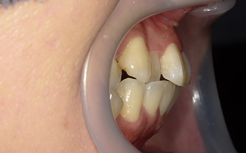
症例集
アローズ式「短期セラミック矯正 」の症例をご紹介します。
短期セラミック矯正の症例.01
| BEFORE | AFTER |
|---|---|
![]() |
![]() |
治療前の側面
![]() |
![]() |
短期セラミック矯正の症例.02
| BEFORE | AFTER |
|---|---|
![]() |
![]() |
![]() |
![]() |
短期セラミック矯正の症例.03
| BEFORE | AFTER |
|---|---|
![]() |
![]() |
![]() |
![]() |
![]() |
![]() |
| 料金 | 1本 130,000円 |
|---|---|
| 治療期間 | 仮歯は当日 完成の補綴が入るまでの最短は4週間 |
| 治療後のリスク | 治療後3時間ほど麻酔が持続するため、口唇を噛んだり気をつけることがあります。 歯肉の外科処置を行った場合軽度の疼痛があります。 |













